Mục lục
ToggleSau khi tháo niềng, nhiều người cho rằng quá trình chỉnh nha đã kết thúc. Tuy nhiên trên thực tế, giai đoạn đeo hàm duy trì mới là yếu tố quyết định răng có giữ được kết quả lâu dài hay không. Vậy niềng răng đeo hàm duy trì bao lâu là đúng chuẩn, và nếu đeo không đủ thời gian thì điều gì sẽ xảy ra? Bài viết dưới đây sẽ giúp bạn hiểu rõ theo góc nhìn chuyên môn chỉnh nha.
Vì sao phải đeo hàm duy trì sau niềng răng?
Hàm duy trì là khí cụ chỉnh nha được sử dụng sau khi tháo mắc cài hoặc kết thúc niềng răng bằng khay trong suốt, với mục đích giữ răng ổn định tại vị trí mới đã được sắp xếp trên cung hàm. Mặc dù răng đã đạt được vị trí mong muốn, nhưng các cấu trúc nâng đỡ xung quanh răng chưa kịp thích nghi hoàn toàn. Cụ thể:
- Xương ổ răng cần thời gian để tái cấu trúc và thích nghi với vị trí mới.
- Mô nha chu và dây chằng quanh răng chưa đủ ổn định.
- Dây chằng nha chu có xu hướng kéo răng về vị trí cũ.
- Răng xảy ra hiện tượng dịch chuyển sinh lý khi không được giữ cố định.
Nếu không đeo hàm duy trì hoặc đeo không đủ thời gian theo chỉ định, có thể dẫn đến:
- Răng xô lệch tái phát sau niềng.
- Khớp cắn mất ổn định, ảnh hưởng chức năng ăn nhai.
- Kết quả chỉnh nha không được duy trì lâu dài.
- Trường hợp nặng, phải chỉnh nha lại từ đầu.
Vì vậy, đeo hàm duy trì là giai đoạn bắt buộc nhằm cố định và duy trì kết quả chỉnh nha lâu dài, không phải là bước phụ hay tùy chọn trong phác đồ điều trị.

Niềng răng đeo hàm duy trì bao lâu là đúng chuẩn?
Theo bác sĩ chỉnh nha, không có một mốc thời gian “chuẩn tuyệt đối” cho việc đeo hàm duy trì. Mỗi bệnh nhân có đặc điểm sinh học, mức độ ổn định răng và nguy cơ tái xô lệch khác nhau sau điều trị.
Thời gian đeo hàm duy trì phụ thuộc vào nhiều yếu tố, bao gồm:
- Tình trạng răng và khớp cắn ban đầu.
- Độ tuổi tại thời điểm chỉnh nha.
- Loại hàm duy trì được bác sĩ chỉ định.
- Mức độ tuân thủ của người đeo trong quá trình duy trì.

3 giai đoạn đeo hàm duy trì phổ biến sau niềng
Dưới đây là lộ trình đeo hàm duy trì thường gặp trong thực hành lâm sàng, được bác sĩ chỉnh nha chỉ định nhằm đảm bảo răng ổn định sau khi tháo niềng.
Giai đoạn 1: Đeo hàm duy trì toàn thời gian
Thời gian: Khoảng 6-12 tháng đầu tiên sau khi tháo mắc cài hoặc kết thúc niềng răng bằng khay trong suốt.
Cách đeo:
- Đeo hàm duy trì 20-22 giờ mỗi ngày.
- Chỉ tháo hàm khi ăn uống và vệ sinh răng miệng.
Mục tiêu:
- Cố định vị trí răng mới dịch chuyển.
- Hỗ trợ xương ổ răng và mô nha chu thích nghi dần với vị trí răng mới.
Đây là giai đoạn quan trọng nhất, khi dây chằng nha chu còn chưa ổn định và răng dễ dịch chuyển tái phát nếu không được giữ cố định.
Giai đoạn 2: Đeo hàm duy trì ban đêm
Thời gian: Kéo dài khoảng 1-2 năm tiếp theo và có thể lâu hơn tùy trường hợp cụ thể.
Cách đeo:
- Chỉ đeo khi ngủ ban đêm.
- Thời gian đeo trung bình khoảng 8-10 giờ mỗi ngày.
Ở giai đoạn này, răng đã ổn định hơn so với giai đoạn đầu, tuy nhiên nguy cơ xô lệch vẫn tồn tại nếu ngưng đeo hàm duy trì hoàn toàn.
Giai đoạn 3: Duy trì dài hạn
Trong một số trường hợp có nguy cơ tái xô lệch cao, bác sĩ chỉnh nha sẽ chỉ định duy trì lâu dài bằng cách đeo hàm duy trì vài đêm mỗi.
Mục tiêu:
- Phòng ngừa hiện tượng răng chạy lại về lâu dài.
- Duy trì khớp cắn ổn định và kết quả chỉnh nha bền vững.

Loại hàm duy trì có ảnh hưởng đến thời gian đeo không?
Loại hàm duy trì được chỉ định cũng ảnh hưởng trực tiếp đến thời gian và cách đeo sau niềng răng.
Hàm duy trì trong suốt
Hàm duy trì tháo lắp trong suốt hiện là loại được sử dụng phổ biến nhất, đặc biệt ở người trưởng thành và những trường hợp ưu tiên tính thẩm mỹ. Hàm có thiết kế mỏng, ôm sát răng, gần như không lộ khi đeo, giúp người bệnh tự tin trong sinh hoạt và giao tiếp hằng ngày.
Tuy nhiên, do có thể tháo lắp, loại hàm này dễ bị quên đeo nếu không duy trì thói quen đều đặn. Khi không đeo đủ thời gian theo chỉ định, răng vẫn có thể dịch chuyển, làm giảm độ ổn định của kết quả chỉnh nha.

Hàm duy trì tháo lắp kim loại
Đây là loại hàm duy trì truyền thống, bền chắc và dễ vệ sinh. Người đeo có thể tháo hàm khi ăn uống và vệ sinh răng miệng, giúp kiểm soát mảng bám và duy trì sức khỏe răng nướu tốt trong giai đoạn duy trì.
Tuy nhiên, loại hàm này kém thẩm mỹ hơn so với hàm trong suốt và vẫn phụ thuộc vào mức độ tuân thủ của người bệnh. Việc đeo không đủ số giờ theo chỉ định có thể làm giảm hiệu quả giữ răng ổn định lâu dài.

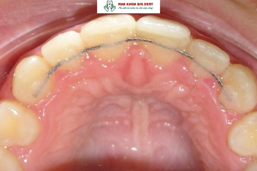
Hàm duy trì cố định
Được gắn trực tiếp vào mặt trong của răng và người bệnh không thể tự tháo ra. Ưu điểm nổi bật nhất của loại hàm này là khả năng giữ răng ổn định liên tục 24/7, ít phụ thuộc vào ý thức đeo hàm của người bệnh.
Vì lý do đó, hàm duy trì cố định thường được chỉ định cho những trường hợp có nguy cơ tái xô lệch cao hoặc cần duy trì kết quả chỉnh nha lâu dài. Tuy nhiên, người đeo vẫn cần tái khám định kỳ để bác sĩ kiểm tra tình trạng hàm và đảm bảo vệ sinh tốt vùng răng gắn hàm.

Cách đeo và chăm sóc hàm duy trì đúng chuẩn
Để hàm duy trì phát huy tối đa hiệu quả và giúp răng ổn định lâu dài sau niềng, người đeo cần tuân thủ các lưu ý quan trọng sau:
- Đeo đủ số giờ theo từng giai đoạn: Tuân thủ chỉ định của bác sĩ chỉnh nha, đặc biệt trong giai đoạn đầu sau tháo niềng. Đeo không đủ thời gian có thể gây dịch chuyển răng tái phát.
- Vệ sinh hàm duy trì mỗi ngày: Làm sạch hàm mỗi ngày để loại bỏ mảng bám và vi khuẩn, giúp phòng ngừa hôi miệng, viêm nướu và bệnh nha chu.
- Tránh làm cong, gãy hoặc biến dạng hàm duy trì: Không cắn mạnh, bẻ cong hoặc để hàm tiếp xúc với nhiệt độ cao. Khi tháo hàm, cần bảo quản đúng cách để tránh cong, gãy.
- Tái khám định kỳ theo chỉ định bác sĩ: Việc thăm khám giúp bác sĩ đánh giá độ ổn định của răng, kiểm tra tình trạng hàm duy trì và điều chỉnh kế hoạch duy trì khi cần.

Một số câu hỏi thường gặp
Câu 1. Quên đeo hàm duy trì 1-2 ngày có sao không?
Việc quên đeo hàm duy trì 1-2 ngày thường chưa gây hậu quả nghiêm trọng, đặc biệt nếu răng đã bước sang giai đoạn ổn định. Tuy nhiên, ở giai đoạn đầu sau tháo niềng, răng vẫn rất dễ chạy lại. Nếu quên đeo nhiều lần, răng có thể bắt đầu xô lệch nhẹ và khiến hàm duy trì bị chật khi đeo.
Câu 2. Bao lâu thì chỉ cần đeo hàm duy trì ban đêm?
Thông thường, người bệnh có thể chuyển sang đeo hàm duy trì ban đêm sau khoảng 6-12 tháng kể từ khi tháo niềng, tùy vào mức độ ổn định của răng và khớp cắn. Ở giai đoạn này, răng đã tương đối ổn định nhưng vẫn cần được giữ cố định trong lúc ngủ để hạn chế nguy cơ xô lệch.
Câu 3. Đeo hàm duy trì có đau hay khó chịu không?
Trong những ngày đầu đeo hàm duy trì, người bệnh có thể cảm thấy căng nhẹ hoặc hơi khó chịu, đặc biệt nếu răng vẫn đang trong quá trình thích nghi. Đây là cảm giác bình thường và thường giảm dần sau vài ngày.
Câu 4. Có thể tự ý ngưng đeo hàm duy trì không?
Không nên tự ý ngưng đeo hàm duy trì khi chưa có chỉ định từ bác sĩ chỉnh nha. Việc ngưng đeo quá sớm có thể khiến răng xô lệch trở lại, làm mất ổn định khớp cắn và ảnh hưởng đến toàn bộ kết quả chỉnh nha trước đó.
Câu 5. Có cần đeo hàm duy trì cả đời không?
Không phải ai cũng cần đeo hàm duy trì cả đời. Tuy nhiên, một số trường hợp nên duy trì lâu dài, đặc biệt là những người từng răng lệch nặng, niềng răng ở độ tuổi trưởng thành hoặc có nguy cơ tái xô lệch cao.
Hy vọng rằng, qua bài viết này, bạn đã hiểu rõ niềng răng đeo hàm duy trì bao lâu là đúng chuẩn và tầm quan trọng của việc tuân thủ chỉ định bác sĩ để giữ răng ổn định lâu dài. Nếu cần được tư vấn cụ thể theo tình trạng răng của mình, bạn có thể đặt lịch hẹn tại Nha khoa Big Dent để được bác sĩ chỉnh nha thăm khám và hướng dẫn chi tiết.

