Mục lục
ToggleBạn đang tự ti vì răng móm làm khuôn mặt mất cân đối và nụ cười kém tự nhiên? Đừng lo, bởi niềng răng móm có thể giúp bạn khắc phục tình trạng này hiệu quả. Và để hiểu rõ hơn, hãy cùng Nha khoa Big Dent tìm hiểu niềng răng móm là gì cũng như lý do vì sao bạn nên chỉnh nha ngay hôm nay nhé!
Răng móm là gì?
Răng móm (hay còn gọi là khớp cắn ngược hoặc sai khớp cắn hạng III) là tình trạng răng hàm dưới hoặc xương hàm dưới phát triển đưa ra trước quá mức so với hàm trên. Khi ngậm miệng, răng dưới phủ ra ngoài răng trên, khiến khuôn mặt mất cân đối, đặc biệt vùng cằm và môi dưới bị nhô ra.
Tình trạng này không chỉ ảnh hưởng đến thẩm mỹ gương mặt mà còn gây ra khó khăn trong ăn nhai, phát âm và có thể dẫn đến rối loạn khớp thái dương hàm nếu không được điều trị sớm.
Dấu hiệu nhận biết răng bị móm:
- Hàm dưới đưa ra trước, khiến môi dưới và cằm bị nhô, làm khuôn mặt mất cân đối.
- Khuôn mặt có xu hướng lõm phần giữa mặt, nhất là khi nhìn nghiêng.
- Khi khép miệng tự nhiên, răng dưới nằm phủ ra ngoài răng trên.
Nguyên nhân răng bị móm
Răng móm có thể xuất phát từ nhiều nguyên nhân khác nhau, bao gồm:
- Yếu tố di truyền: Đây là nguyên nhân chiếm tỉ lệ cao nhất. Nếu bố hoặc mẹ có cấu trúc xương hàm dưới phát triển mạnh hoặc từng bị khớp cắn ngược, con cái rất dễ gặp tình trạng tương tự.
- Phát triển xương hàm bất cân đối: Khi xương hàm dưới phát triển quá mức hoặc hàm trên kém phát triển, sự chênh lệch giữa hai hàm khiến răng dưới phủ ra ngoài răng trên, hình thành móm xương.
- Sai lệch vị trí răng: Một số trường hợp móm chỉ xuất phát từ răng cửa hàm dưới nghiêng ra ngoài, hoặc răng cửa hàm trên nghiêng vào trong, khiến khớp cắn bị đảo ngược dù xương hàm vẫn bình thường.
- Thói quen xấu từ nhỏ: Các hành vi như mút tay, chống cằm, đẩy lưỡi, ngậm núm vú giả trong thời gian dài có thể làm biến dạng sự phát triển của xương hàm, làm tăng nguy cơ bị móm.
- Mất răng sớm hoặc sai lệch khớp cắn lâu ngày: Khi mất răng mà không phục hình kịp thời, các răng còn lại có xu hướng dịch chuyển, gây mất cân bằng lực nhai, từ đó khiến hàm dưới dần trượt ra trước.
- Cơ lưỡi hoạt động quá mức: Thói quen đẩy lưỡi ra trước hoặc cơ lưỡi phát triển mạnh hơn bình thường có thể làm tăng áp lực lên hàm dưới, khiến răng bị móm theo thời gian.
Niềng răng móm là gì? Tại sao nên niềng?
Niềng răng móm là phương pháp sử dụng hệ thống mắc cài hoặc khay niềng trong suốt để tạo lực kéo nhẹ, liên tục giúp dịch chuyển răng về đúng vị trí, đồng thời tái lập tương quan hai hàm chuẩn xác, giúp khắc phục tình trạng răng hàm dưới chìa ra ngoài so với hàm trên.
Phương pháp này hiện đang được nhiều khách hàng lựa chọn để khắc phục khuyết điểm móm, bởi vì:
Giúp cải thiện thẩm mỹ khuôn mặt
Khi bị răng móm, hàm dưới thường đưa ra trước, khiến khuôn mặt mất cân đối, cằm nhô và nụ cười kém tự nhiên. Niềng răng giúp điều chỉnh vị trí răng và hướng phát triển của xương hàm, mang lại gương mặt hài hòa, cân đối hơn.
Nhiều khách hàng sau khi niềng răng móm chia sẻ rằng họ cảm thấy tự tin hơn trong giao tiếp, đặc biệt khi cười hoặc chụp ảnh, nhờ khuôn miệng và nụ cười trở nên tự nhiên, rạng rỡ.
Khôi phục khớp cắn chuẩn, cải thiện chức năng ăn nhai
Khi răng hàm dưới phủ ra ngoài hàm trên, khớp cắn bị lệch khiến hiệu quả nhai giảm, thức ăn không được nghiền kỹ, dễ gây ra các vấn đề tiêu hóa. Niềng răng giúp đưa răng về đúng vị trí, khôi phục sự ăn khớp giữa hai hàm, từ đó tăng hiệu quả nhai, cải thiện phát âm và giảm áp lực lên khớp thái dương hàm.
Phòng ngừa các bệnh lý răng miệng
Răng móm khiến việc chải răng và làm sạch kẽ răng khó khăn, tạo điều kiện cho mảng bám, vi khuẩn, sâu răng và viêm nướu phát triển. Sau khi niềng răng, răng được sắp xếp ngay ngắn, khớp cắn chuẩn, giúp việc vệ sinh dễ dàng hơn, hạn chế bệnh lý răng miệng và giữ hơi thở thơm mát.
Hạn chế tình trạng lệch khớp hàm và đau khớp thái dương
Tình trạng răng móm kéo dài có thể khiến 2 hàm hoạt động lệch nhau, dẫn đến đau mỏi hàm, đau đầu, kêu khớp khi há miệng. Niềng răng giúp phân bổ lại lực nhai hợp lý, giúp khớp thái dương hàm hoạt động đúng chức năng và phòng tránh rối loạn khớp thái dương hàm trong tương lai.
Ngăn tình trạng móm tiến triển nặng hơn
Nếu không can thiệp sớm, móm có thể nặng dần theo thời gian, đặc biệt ở người có xương hàm dưới phát triển mạnh. Niềng răng sớm giúp kiểm soát hướng phát triển của xương hàm, tránh biến chứng thẩm mỹ nghiêm trọng và giảm nguy cơ phải phẫu thuật chỉnh hàm phức tạp sau này.
Các phương pháp niềng răng móm phổ biến hiện nay
Dưới đây là 4 kỹ thuật niềng răng móm phổ biến hiện nay được nhiều phòng khám áp dụng tư vấn chỉ định cho bệnh nhân có ý định chỉnh nha móm:
Niềng răng mắc cài thường
Đây là phương pháp chỉnh nha được sử dụng lâu đời nhất, hoạt động dựa trên hệ thống mắc cài kim loại, dây cung và thun buộc để tạo lực kéo dịch chuyển răng. Cơ chế của phương pháp này giúp điều chỉnh khớp cắn ngược hiệu quả, đặc biệt trong các trường hợp móm trung bình đến nặng.
Ưu điểm của phương pháp này là hiệu quả cao, chi phí hợp lý, phù hợp với hầu hết các mức độ móm từ nhẹ đến nặng. Tuy nhiên, do lộ rõ mắc cài nên phương pháp này thường phù hợp với những người không quá đặt nặng yếu tố thẩm mỹ trong quá trình điều trị.
Niềng răng mắc cài tự buộc
Niềng răng mắc cài tự buộc là phiên bản cải tiến của mắc cài truyền thống. Thay vì sử dụng thun buộc, hệ thống này có nắp trượt tự động để giữ dây cung cố định, giúp giảm ma sát và kiểm soát lực kéo tốt hơn. Nhờ đó, quá trình di chuyển răng trở nên nhẹ nhàng, chính xác và nhanh hơn, đồng thời giảm cảm giác đau tức so với mắc cài thường.
Trong điều trị răng móm nặng hoặc khớp cắn ngược phức tạp, mắc cài tự buộc giúp nha sĩ dễ dàng kiểm soát hướng di chuyển của răng và rút ngắn tổng thời gian chỉnh nha.
Niềng răng mặt trong
Niềng răng mặt trong là lựa chọn hoàn hảo cho những ai muốn chỉnh răng móm mà vẫn giữ được thẩm mỹ khi giao tiếp. Thay vì gắn mắc cài bên ngoài răng, phương pháp này sẽ gắn hệ thống mắc cài ở mặt trong của răng, hoàn toàn khuất tầm nhìn.
Cơ chế tác động tương tự mắc cài thường, sử dụng lực kéo từ dây cung để sắp xếp răng nhưng được điều chỉnh theo hướng từ trong ra ngoài để khắc phục khớp cắn ngược. Tuy có chi phí cao hơn và yêu cầu bác sĩ có tay nghề cao, nhưng niềng răng mặt trong là giải pháp chỉnh nha kín đáo, hiệu quả và thẩm mỹ tối đa.
Niềng răng bằng khay trong suốt
Niềng răng trong suốt là phương pháp chỉnh nha hiện đại nhất hiện nay. Thay vì sử dụng mắc cài và dây cung, phương pháp này dùng bộ khay niềng nhựa trong suốt, được thiết kế riêng dựa trên dữ liệu quét 3D hàm răng của từng người. Mỗi khay tạo lực ép nhẹ, liên tục và chính xác, giúp răng di chuyển dần về vị trí mong muốn mà vẫn đảm bảo sự thoải mái.
Phương pháp này có tính thẩm mỹ cao, dễ tháo lắp, thuận tiện khi ăn uống và vệ sinh, là lựa chọn lý tưởng cho người trưởng thành hoặc những ai cần giao tiếp thường xuyên.
Chưa biết phương pháp nào phù hợp? Đăng ký tư vấn miễn phí ngay để được bác sĩ phân tích chi tiết cho tình trạng của bạn nhé!
Quy trình niềng răng móm chuẩn y khoa tại Big Dent
Tại Nha khoa Big Dent, quá trình niềng răng móm được thực hiện theo 6 bước tiêu chuẩn y khoa như sau:
Bước 1: Thăm khám và chẩn đoán lâm sàng
Bác sĩ tiến hành kiểm tra tổng quát khuôn mặt, khớp thái dương hàm và sự tương quan giữa hai hàm. Đồng thời, bệnh nhân sẽ được chụp phim X-quang Panorex, Cephalometric và CBCT để đánh giá chi tiết cấu trúc xương, vị trí chân răng và hướng mọc.
Với người bị móm, bác sĩ cần xác định chính xác nguyên nhân do răng, do xương hàm dưới phát triển quá mức, hay kết hợp cả hai, từ đó xây dựng chiến lược di chuyển răng hoặc kiểm soát tăng trưởng xương phù hợp nhất.
Bước 2: Lập phác đồ điều trị và mô phỏng 3D
Sau khi phân tích dữ liệu chẩn đoán, bác sĩ sẽ lập phác đồ chỉnh nha cá nhân hóa, trong đó tập trung vào việc đưa răng hàm dưới lùi về sau và kéo răng hàm trên ra trước để tái lập khớp cắn chuẩn.
Tại Big Dent, công nghệ ClinCheck 3D được ứng dụng để mô phỏng toàn bộ tiến trình di chuyển răng và sự thay đổi của hai hàm. Bệnh nhân có thể xem trước kết quả dự kiến, giúp yên tâm và dễ dàng hình dung hiệu quả điều trị trước khi bắt đầu.
Bước 3: Giai đoạn tiền chỉnh nha
Trước khi gắn khí cụ, bác sĩ tiến hành điều trị nha chu, trám răng sâu hoặc xử lý viêm nướu (nếu có) để đảm bảo nền tảng răng lợi khỏe mạnh. Giai đoạn này cũng bao gồm việc điều chỉnh thói quen xấu như đẩy lưỡi ra trước, cắn môi hoặc nghiến răng để tránh tình trạng móm tái phát sau niềng.
Bước 4: Gắn mắc cài hoặc bàn giao khay niềng
Dựa trên kế hoạch đã thống nhất với bệnh nhân, bác sĩ sẽ tiến hành gắn mắc cài lên từng răng, hoặc bàn giao bộ khay niềng trong suốt đến khách hàng. Ở trẻ em hoặc trẻ vị thành niên, bác sĩ có thể kết hợp khí cụ chức năng hoặc minivis để kiểm soát sự phát triển của xương hàm dưới và ngăn tình trạng móm tiến triển.
Bước 5: Tái khám định kỳ
Bệnh nhân cần tái khám định kỳ 4–6 tuần/lần (đối với mắc cài) hoặc thay khay mới sau 7–14 ngày (với niềng trong suốt). Trong mỗi buổi hẹn, bác sĩ sẽ kiểm tra tiến độ, điều chỉnh dây cung hoặc lực kéo để răng di chuyển đúng hướng.
Giai đoạn này đặc biệt quan trọng với người bị móm, vì cần kiểm soát chặt chẽ tương quan giữa hai hàm để đảm bảo khớp cắn sau cùng đạt chuẩn.
Bước 6: Hoàn tất điều trị và đeo máng duy trì
Khi răng đã ổn định và khớp cắn đạt chuẩn, bác sĩ sẽ tháo mắc cài hoặc kết thúc liệu trình khay niềng, sau đó thiết kế máng duy trì để giữ răng ở vị trí mới. Việc đeo máng duy trì đúng hướng dẫn giúp ổn định khớp cắn, ngăn ngừa tái móm và duy trì nụ cười đều đẹp, cân đối lâu dài.
Tại sao nên niềng răng móm tại Nha khoa Big Dent?
Việc lựa chọn địa chỉ niềng răng uy tín là yếu tố quyết định đến hiệu quả và độ an toàn của ca niềng răng móm. Bởi niềng răng móm không chỉ đơn thuần là sắp xếp lại răng cho đều, mà còn là quá trình điều chỉnh tương quan giữa 2 hàm, đưa khớp cắn ngược trở về vị trí chuẩn. Nếu thực hiện tại cơ sở thiếu chuyên môn, nguy cơ lệch khớp cắn, tái móm hoặc biến dạng khuôn mặt hoàn toàn có thể xảy ra.
Tại Nha khoa Big Dent, chúng tôi tự hào khi là một trong những địa chỉ niềng răng uy tín được nhiều khách hàng tin tưởng. Với đội ngũ bác sĩ chuyên môn, được dẫn dắt bởi bác sĩ Hoàng Đức Thái, chuyên gia chỉnh nha với gần 30 năm kinh nghiệm lâm sàng, đã thực hiện thành công hàng nghìn ca răng móm từ đơn giản đến phức tạp.
Không chỉ vậy, Big Dent còn khẳng định vị thế là một trong những nha khoa hàng đầu Việt Nam nhờ vào các yếu tố sau:
- Ứng dụng công nghệ quét 3D và phần mềm mô phỏng nụ cười trước điều trị, giúp khách hàng thấy rõ kết quả dự kiến ngay từ đầu.
- Hệ thống chẩn đoán và theo dõi tiến trình hiện đại, đảm bảo độ chính xác cao.
- Công khai bảng giá minh bạch, không phát sinh chi phí ẩn.
- Được thăm khám và tư vấn lâm sàng miễn phí 100% trước khi niềng.
- Chính sách trả góp 0% lãi suất, giảm áp lực tài chính cho khách hàng.
- Theo dõi sát tiến độ, nhắc lịch hẹn định kỳ để đảm bảo kết quả.
- Hỗ trợ 24/7 khi khách hàng gặp sự cố trong quá trình chỉnh nha.
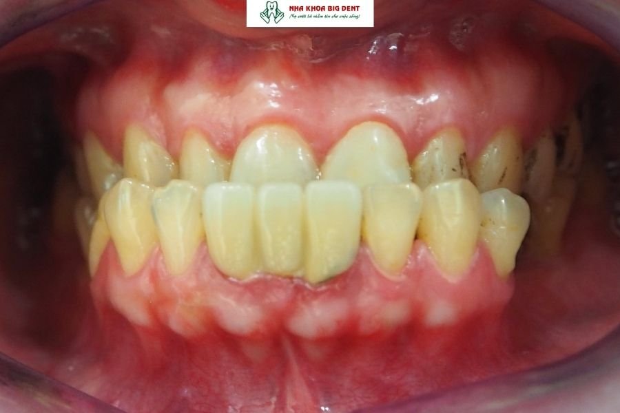
Ca niềng răng móm thành công tại Big Dent
Một số câu hỏi liên quan
Câu 1. Niềng răng móm có hết hẳn không hay chỉ cải thiện phần nào?
Niềng răng móm có thể hết hoàn toàn nếu nguyên nhân do răng mọc sai vị trí. Tuy nhiên, nếu móm do xương hàm dưới phát triển quá mạnh hoặc hàm trên kém phát triển, niềng răng chỉ giúp cải thiện một phần. Lúc này, bác sĩ có thể chỉ định kết hợp phẫu thuật chỉnh hàm để đạt hiệu quả tối đa.
Câu 2. Thời gian niềng răng móm thường kéo dài bao lâu thì thấy kết quả rõ rệt?
Thời gian niềng răng móm thường kéo dài khoảng 18 – 30 tháng, tùy vào mức độ lệch khớp cắn và phương pháp chỉnh nha. Sau 3 – 6 tháng đầu, bạn sẽ bắt đầu thấy răng dịch chuyển và khớp cắn cải thiện rõ rệt.
Câu 3. Trường hợp móm nặng có cần phẫu thuật kết hợp với niềng răng không?
Với trường hợp móm nặng do sai lệch xương hàm, niềng răng đơn thuần thường không đủ để khắc phục hoàn toàn. Khi đó, bác sĩ sẽ chỉ định phẫu thuật chỉnh hàm kết hợp niềng răng để đưa hàm dưới về đúng vị trí, giúp khuôn mặt cân đối và khớp cắn chuẩn xác hơn.
Câu 4. Sau khi tháo niềng răng móm có bị tái phát móm trở lại không?
Sau khi tháo niềng, răng móm hoàn toàn có thể bị tái phát nếu không đeo hàm duy trì đúng cách hoặc thói quen xấu như đẩy lưỡi, cắn môi, nghiến răng vẫn tiếp diễn. Để tránh tình trạng răng chạy lại vị trí cũ, bác sĩ sẽ thiết kế máng duy trì để giúp ổn định răng và khớp cắn sau khi chỉnh nha.
Từ những thông tin trên, hy vọng bạn đã có cái nhìn toàn diện hơn về niềng răng móm cũng như biết thêm về nguyên nhân, quy trình và những lợi ích khi chỉnh nha móm. Và để có sự lựa chọn tốt nhất cho mình, nếu bạn đang phân vân không biết nên bắt đầu chỉnh nha từ đâu hoặc phương pháp nào phù hợp nhất, hãy liên hệ ngay với chúng tôi để được tư vấn ngay nhé!
